小児矯正について

お子さんの成長を利用した、
今だからできる矯正治療
お子さんの矯正治療は、顎の成長と共に歯並びを整えることができるため、治療の負担も少なく、痛みも少ないことが特徴です。当院では、年齢や顎の成長具合、発達状況に合った矯正治療を行っており、身体的にも費用的にも負担が抑えられますのでお悩みのかたはぜひご相談ください。
このような場合はご相談ください
- 歯並びがガタガタ
- すきっ歯が気になる
- 前歯が出ている
- 顎がズレている
- 受け口になっている
- 遺伝的に歯並びが気になる
このような歯並びで
お悩みではないですか?
歯並びが悪い
前歯が出ている
下顎が出ている
すきっ歯
噛み合わせ
のズレ
噛み合わせ
が深い
前歯が
噛み合わない
歯並びが悪くなる原因
食事方法
月齢にとらわれず、お子さん一人ひとりの成長に合わせて離乳食を進めていきましょう。無理に急いだり、段階を飛ばしたりすると、誤った習慣が身についてしまうことがあるため、慎重に進めることが大切です。
口呼吸
口呼吸をしていると、常に口が開いた状態になりやすく、顎の正常な発達が妨げられ、その結果、歯並びが乱れる原因となります。さらに、小学生以下の約8割が口呼吸をしているという報告もあり、早期の対策が重要です。
お口がポカンと開いている
口が自然に閉じず、常に開いている状態を「お口ポカン」と呼びます。通常、成長とともに口周りの筋肉が発達し、口唇を閉じる力が強くなります。しかし、筋肉の発達が不十分などの理由により、お口ポカンの状態が続くことがあります。
舌癖・低位舌
舌癖があると舌の位置が下がり、上顎の成長が十分に進まなくなるだけでなく、舌が上の歯と下の歯の間に押し付けられることで、歯並びが乱れる原因となります。
姿勢・体幹
筋肉や骨の発達に影響を受け、移動機能が低下する「子どもロコモ」が増えています。子どもロコモによって体幹が弱くなると、猫背になりやすくなり、その結果、口呼吸を引き起こす原因となることがあります。
お口の悪い癖による影響
お口の悪い癖を放置してしまうと、
お口周りだけではなくさまざまなことに悪影響があります
お顔立ちの変化
口呼吸などの悪い癖を放置すると、骨格や口周りの筋肉の発達が十分に進まないことがあります。その影響で、顔全体が下がったような印象を与えることがあります。
ガミースマイル
笑ったときに歯ぐきが目立つ状態は「ガミースマイル」と呼ばれます。これは、顎が下方向に成長することで歯ぐきが露出しやすくなる傾向があるためです。
表情の変化
顔の筋肉が十分に発達しないと、表情にも影響を与えることがあります。例えば、目が垂れ下がり、黒目の下に白目が見える「三白眼」になりやすくなるのも、その特徴の一つです。
健康への悪影響
鼻は細菌が体内に侵入するのを防ぐフィルターの役割を果たしています。しかし、歯並びの影響で口呼吸になると、このフィルター機能が十分に働かず、細菌が直接体内に入りやすくなります。
持久力・集中力の低下
口呼吸は浅く速い呼吸になりやすく、交感神経が活発に働くことで心身が緊張しやすくなります。その結果、常に緊張状態が続き、落ち着きがなくなったり、持久力の低下を引き起こすことがあります。
滑舌が悪くなる
お口周りの筋肉がうまく使えず、「お口ポカン」の状態が長く続くと、舌の筋肉の発達が不十分になります。その影響で、滑舌が悪くなる可能性があります。
姿勢が悪くなる
歯並びが悪いと顎の位置がずれ、頭が前方に傾く「前方頭位」になりやすくなり、首や肩への負担が増します。その結果、全身のバランスが乱れ、姿勢が悪くなる可能性があります。
いびき
無意識にお口が開いた状態が続くと、舌を正しい位置に保つことが難しくなります。特に就寝中は、舌が喉の方へ下がりやすくなり、それがいびきの原因となることがあります。
当院の矯正治療は、
「お口の悪い癖を取り除く」、
「悪くなった歯並びを
きれいにする」
この両方に対して
アプローチしていきます。
当院の小児矯正

豊富な実績、専門的な知識をもつ
歯科医師が担当します
矯正治療は、歯科診療科の中でも特に専門的な知識や技術、そして豊富な経験が求められる分野です。当院では、これらを備えた歯科医師が矯正治療を担当しております。小児矯正の無料相談も行っており、年齢や発育段階に応じた歯並びのお悩みに幅広く対応しています。お子さんの成長に合わせた適切なタイミングでの治療をご提案いたしますので、どうぞお気軽にご相談ください。

歯並びが悪くなる原因にアプローチする
MFT(口腔筋機能療法)を導入しています
当院では、がたがたの歯並びを整える治療だけでなく、そもそも歯並びが悪くなってしまう原因にアプローチする「予防矯正」を行っております。お口の環境を悪化させてしまう悪い癖や習慣を改善するためのMFT(口腔筋機能療法)や、歯が生えてくるスペースを確保する矯正により、本来あるべき位置に歯を誘導し、正しい成長を促すことができます。歯並びをはじめとしたお口の環境に関係している舌、唇、頬の筋肉の働きを整えることを目的としたトレーニングを行い、歯並びを整えたり、きれいな歯並びをキープしたりすることができます。
お口のトレーニングによる
改善ポイント
呼吸の改善
口呼吸から鼻呼吸へ
改善することで舌を
正しい位置へ誘導します
姿勢の改善
姿勢を正すことで
身体の歪みを改善し、
正しい発育を促します
悪癖の改善
指しゃぶりや爪を噛むなどの癖
を改善することで正しい筋肉の
発達を促します
MFT簡単3ステップ
1日1~2時間の装着
毎日数分のトレーニング
就寝時の装着

お子さんの成長に合わせた
矯正治療を提供しています
身体の成長がさまざまであるように、お口の成長もお子さんによって異なります。小児矯正では、成長の力を利用して歯並びを整えていくため、歯並びの状態だけでなく、年齢や成長の度合い、さらに生活習慣に合わせた治療が必要です。当院では、先端機器による精密な検査と豊富な実績をもって、お子さん一人ひとりの成長に合わせた矯正治療をご提供しております。
無料相談を実施しています
まずはお気軽にご相談ください
当院では、小児矯正をご検討されているかたを対象に無料相談を実施しています。歯科医師が丁寧にカウンセリングを行い、ご質問にもお答えしておりますので、お気軽にご相談ください。
Ⅰ期治療とⅡ期治療について
小さい頃に開始することで、より負担が少なく治療を行うことができます。
お子さんの将来の歯並びが気になる場合はなるべく早めにご相談ください。
4~9歳
予防矯正
7~9歳
Ⅰ期矯正
10歳~
Ⅰ期矯正・成人矯正
4~9歳頃のお子さんには、予防矯正を中心としたアプローチを行っています。特に混合歯列期に入る9歳までは、お子さんの歯並びや成長の状態に応じて、予防矯正のみ、あるいは予防矯正とⅠ期矯正を組み合わせて治療を進めていきます。なお、5歳になる前から通っていただくことで、早い段階から歯並びの成長を適切に見守り、より良いタイミングでの矯正にスムーズにつなげることが可能です。
成長曲線について
お子さんの矯正治療は、なるべく早く行ったほうが、抜歯のリスクも低く、治療期間が短いなどお子さんの負担が少ないです。放置してしまうと、どんどん歯並びが悪化してしまい、いざ矯正治療を行おうとしても、抜歯の可能性を伴う大がかりな治療を行う可能性が高くなります。
矯正装置の種類

マイオブレース
マウスピース型の小児矯正用の装置で、舌や唇、頬の筋肉の働きを整えることで正しい歯並びへの成長を促します。また、矯正装置の装着に加え、お口周りの筋肉のバランスを整えるトレーニング(アクティビティ)を行い、「口呼吸」「舌癖」「飲み込み方」など歯並びを悪化させてしまう悪い癖を治していく矯正方法です。
マイオブレースは薬機法の対象外です。
01未承認医薬品であること
マイオブレースは薬機法上対象外の医療機器です。
医療機器としての矯正装置に該当しないため薬機法上の承認を得ていません。
マウスピースに使用される材料そのものは薬事承認されておりますので、安全にご使用いただけます。
02国内の承認医薬機器等の有無
マウスピース型矯正装置はマイオブレースの他にもさまざまな種類があります。その中には、条件を満たして薬事承認されているマウスピース型矯正装置も国内でいくつか存在しています。
03諸外国における安全性等に係る情報
1998年にFDA(米国食品医薬品局)から医療機器として認証され、販売認可を受けています。
これまで1,500万人以上の患者さんに使用されておりますが、重篤な副作用の報告はありません。
04入手経路等
インビザライン®は、米国アライン・テクノロジー社の製品です。
当院はインビザラインを用いた治療システムを、アライン・テクノロジー社のグループ会社である「アライン・テクノロジー・ジャパン株式会社」より入手しています。
05医薬品副作用被害救済制度について
医薬品副作用被害救済制度について万が一重篤な副作用が出た場合は、国の医薬品副作用被害救済制度の対象外となります。

BWS
BWSは、上の顎を広くして口蓋に舌がフィットできるようにする拡大装置です。マイオブレースが同時に使用できるように作られた装置です。8歳以上の混合歯列期後期は、顎の成長が完了に近づいているため、マイオブレースだけでは改善が難しいケースがありますので、その場合にBWSを併用し手助けをします。
治療の流れ
1 無料矯正相談
矯正治療に関するお悩みをお持ちのかたは無料相談をご利用ください。治療に関する疑問やご不明点などスタッフが丁寧にお伺いしわかりやすく説明します。カウンセリングだけでなく、パノラマレントゲン撮影や口腔内の検査を行い、お口の状態を一緒に確認します。
2 精密検査
精密検査ではセファロレントゲンでの撮影や、光化学3Dレントゲンなど歯型の作製や、治療計画を立てる上で必要なデータを収集します。
3 診断結果・治療計画のご説明
精密検査の結果をもとに、治療計画を立案し、費用や期間の説明をいたします。ご不明点やご不安がありましたらお気軽にご相談ください。
4 治療開始
治療計画にご納得いただけましたら治療を開始します。
定期的に通院していただき、経過観察とメンテナンスを行います。
5 調整管理
矯正器具や治療の進み具合などに応じて定期的にご通院いただき、装置の調整や治療の状態の確認を行います。その際、むし歯などの検査も行い、必要であれば治療を行うこともあります。
6 定期管理
矯正治療の終了後は、きれいな歯並び及び健康な口腔内を維持できるよう定期的にご来院いただきチェックいたします。
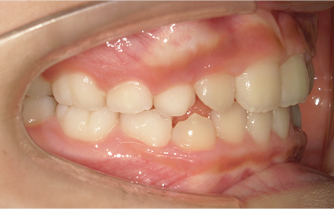
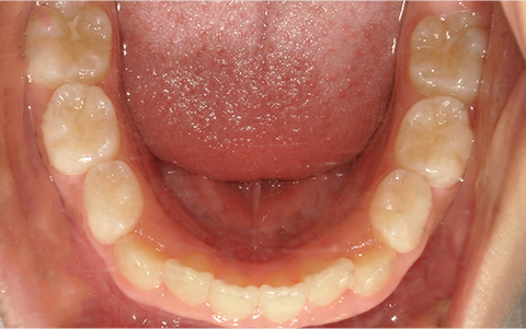
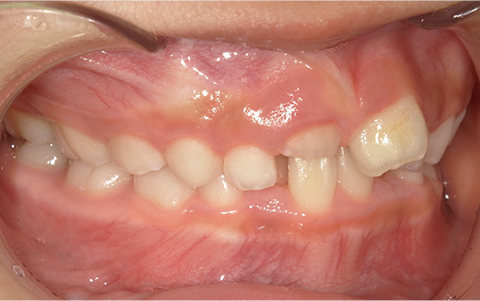
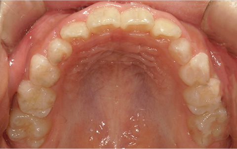
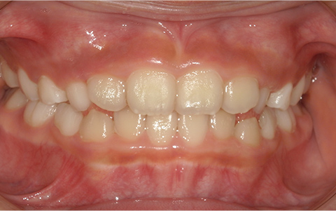
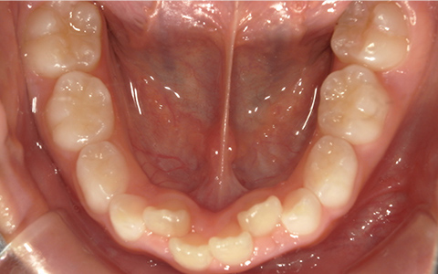
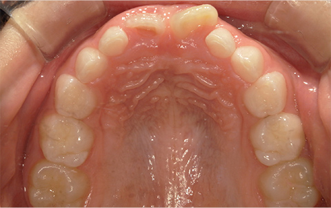
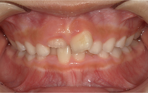
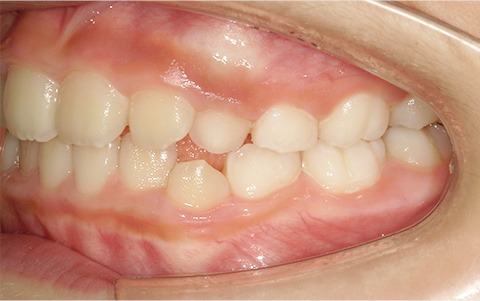
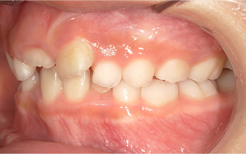
症例
費用
料金表
| 簡易相談料 | 0円 |
|---|---|
| 診断料※治療に至る場合は包括 | 15,000円 |
| アクティビティ指導 | 5,000円 |
| 予防矯正(MFT) | 440,000円 |
| 小児Ⅰ期矯正 |
660,000円 ※予防矯正と併用の場合は差額のみ |
※表示金額は全て税込みです。
お支払方法
当院では、
下記のお支払方法をお選びいただけます。
現金
現金でのお支払い
電子マネー
PayPay/Suica/ID/
楽天edy/nanaco/Waon/Quicpay/など
クレジットカード
※自費診療のみ
VISA/JCB/
Mastercard/など
デンタルローン
低金利分割払いでの
お支払い
医療費控除について
1年間(1月1日~12月31日)に10万円以上の医療費を支払った場合は、医療費控除によって一定の金額の所得控除を受けることができます。ご自身の支払いに限らず、生計を共にするご家族が支払った医療費も対象となります。詳しくは国税庁のホームページをご覧ください。
国税庁のホームページ注意点・リスク・副作用
リスク・副作用について
・治療の初期段階では痛みや不快感が生じやすくなりますが、1 週間前後で慣れます。
・歯の動き方には個人差があるため、予想された治療期間より延長する場合があります。
・装置の使用状況や定期的な通院など、患者さんの協力程度で治療の結果や期間に影響します。
・矯正装置装着時は、歯みがきがしにくくなるためむし歯や歯周病のリスクが高まります。
・歯を動かすことで歯根が吸収して短くなったり、歯ぐきが下がったりすることがあります。
・歯が骨と癒着していて歯が動かなくなったり、歯の神経が障害を受けたりすることがまれにあります。
・装置を外す時に、歯の表面に小さな亀裂が入る可能性や、補綴物の一部が破損する可能性があります。
・装置が外れた後に、保定装置を使用しないと後戻りが生じる可能性が高くなります。
・矯正治療は一度始めると元の状態に戻すことは難しくなります。